Braces & Clear Aligners in Billings & Miles City
We’re here to give you an extraordinary orthodontic experience. That’s our promise to you.

Your Family Orthodontist
Meet Dr. Thomas Kovacs, DDS, MSD, PC
Since 1994, Dr. Thomas Kovacs has been known for shooting straight, high-tech care and stunning results. You’ll get just that at our offices in Billings and Miles City. All families in Eastern Montana are welcomed to comfortable and state-of-the-art treatment to help you feel confident and healthy.
Learn MoreBefore & After
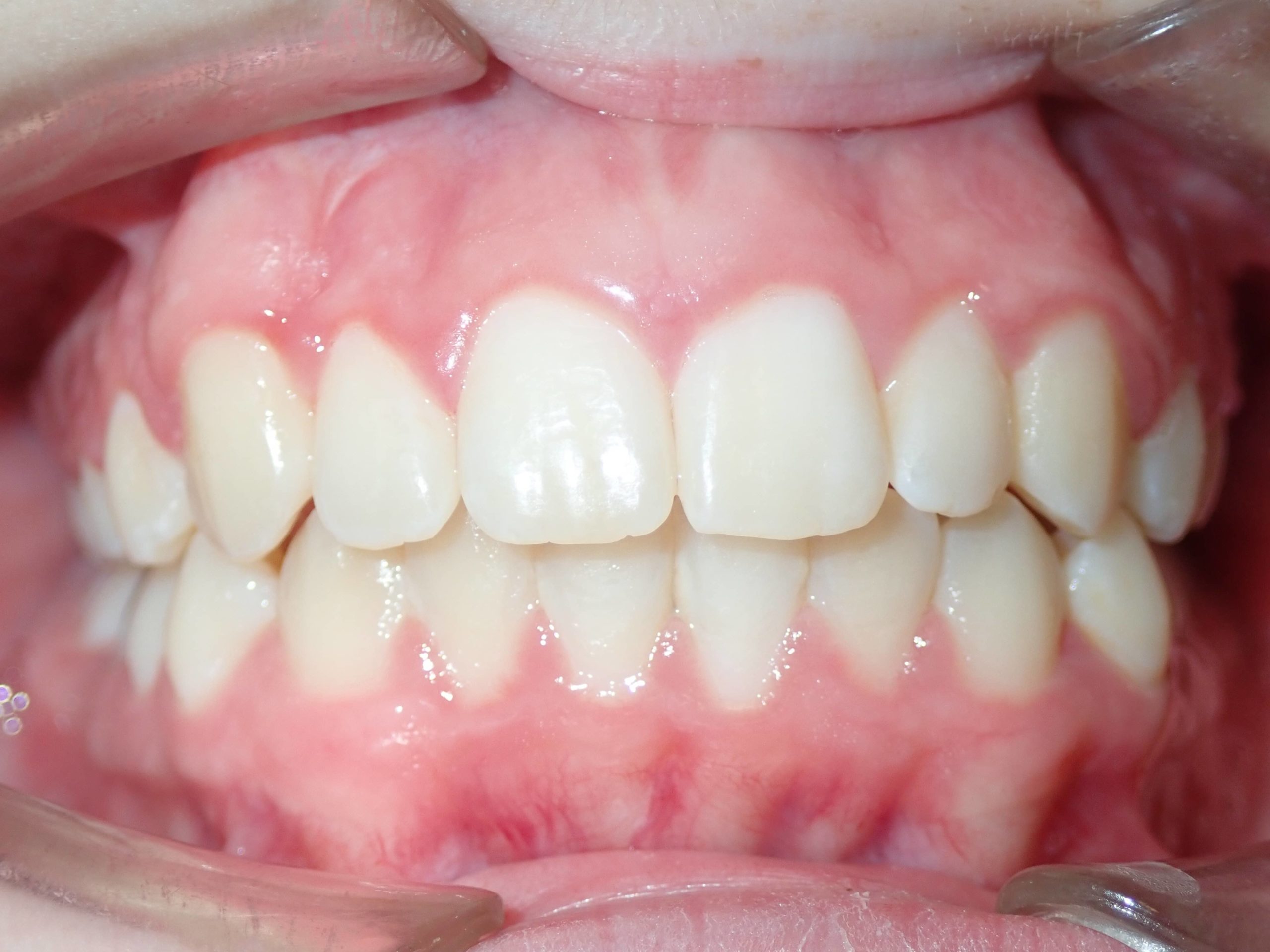
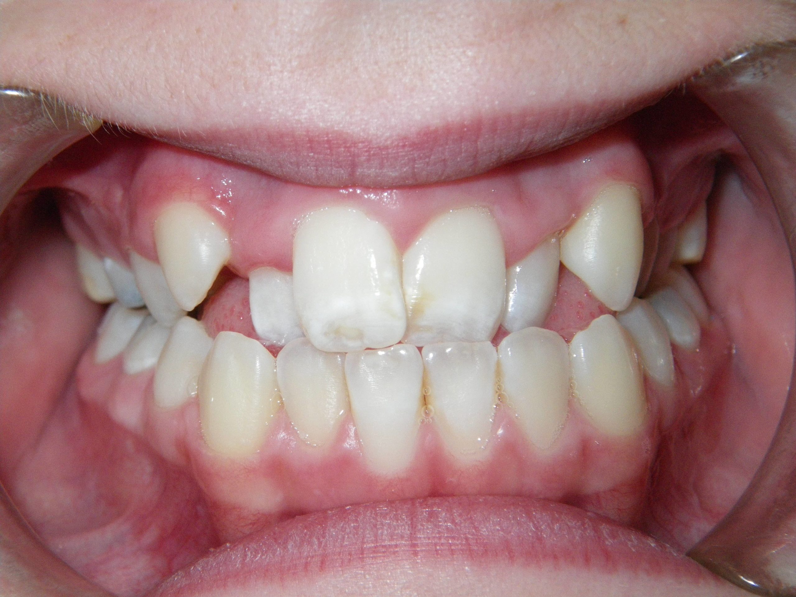
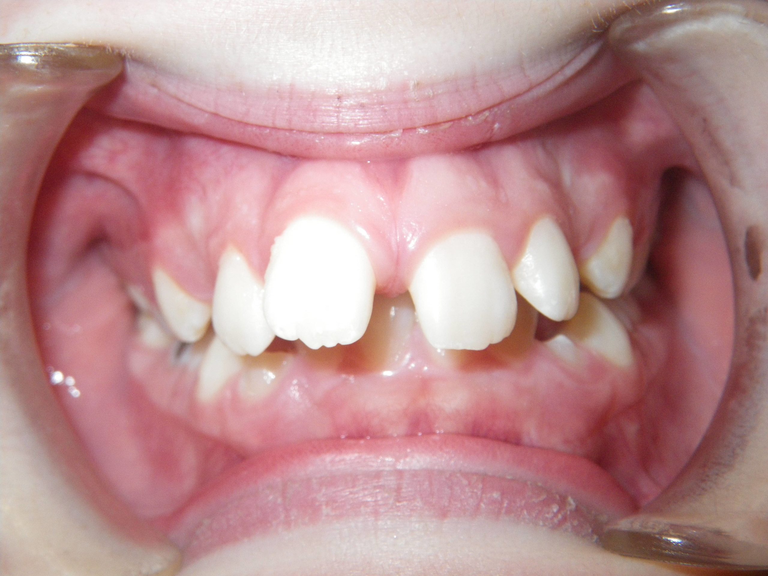
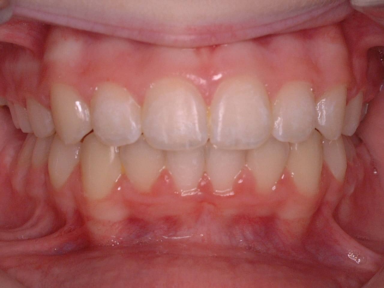
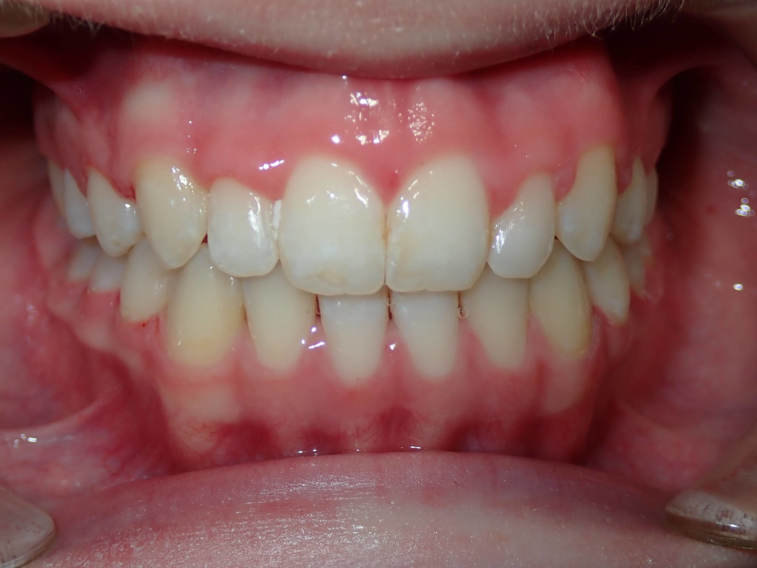
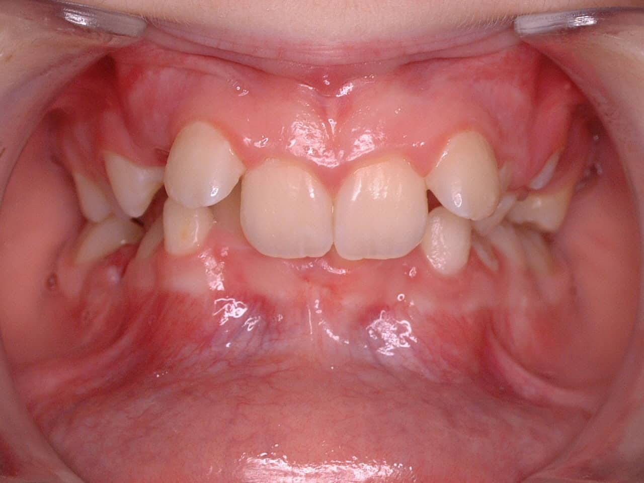
A transformed smile can change your life, just like it did for these Kovacs Orthodontics patients.
After
Before
After
Before
After
BeforeWe’re Your 5-Star Orthodontist in Eastern Montana
What Our Patients Are Saying
Meet
Cynthia
“The whole adventure was really pleasant. They always greet you with a smile.”

Meet
Joe
“Coming here always felt very comfortable, very inviting, very welcoming and very professional.”

Meet
Megan
“It's wonderful to see my husband and my kids feel wonderful about their smiles.”

25+ Years of Happy Patients
I had a great experience getting my braces with Dr. Kovacs. The best part is how my teeth look now because of my braces!- Cameron -
25+ Years of Happy Patients
Kovacs Orthodontics is a wonderful place for families and people of all ages who are new to the “braces game”.- Stella -
25+ Years of Happy Patients
Dr. Kovacs and his team are wonderful to work with! They make you feel welcome! Highly recommend.- Katrina -
Comfortable Treatment Options

Metal Braces
Our modern metal braces are less visible, lighter and more comfortable than ever before.
Learn More
Clear Braces
Ceramic braces blend in with your teeth, so they’re less noticeable than traditional braces.
Learn More
Clear Aligners
This custom, clear aligners system gives you a comfortable and flexible option for your perfect smile.
Learn More


