Our Smiles Speak for Themselves
Every smile tells a story, and here are a few amazing before and after pictures of patients treated by Dr. Kovacs at our offices in Billings and Miles City.
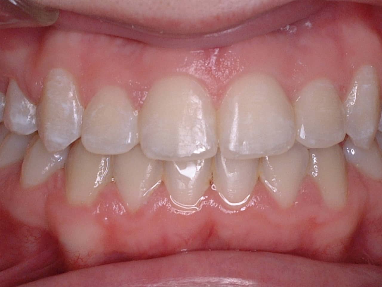
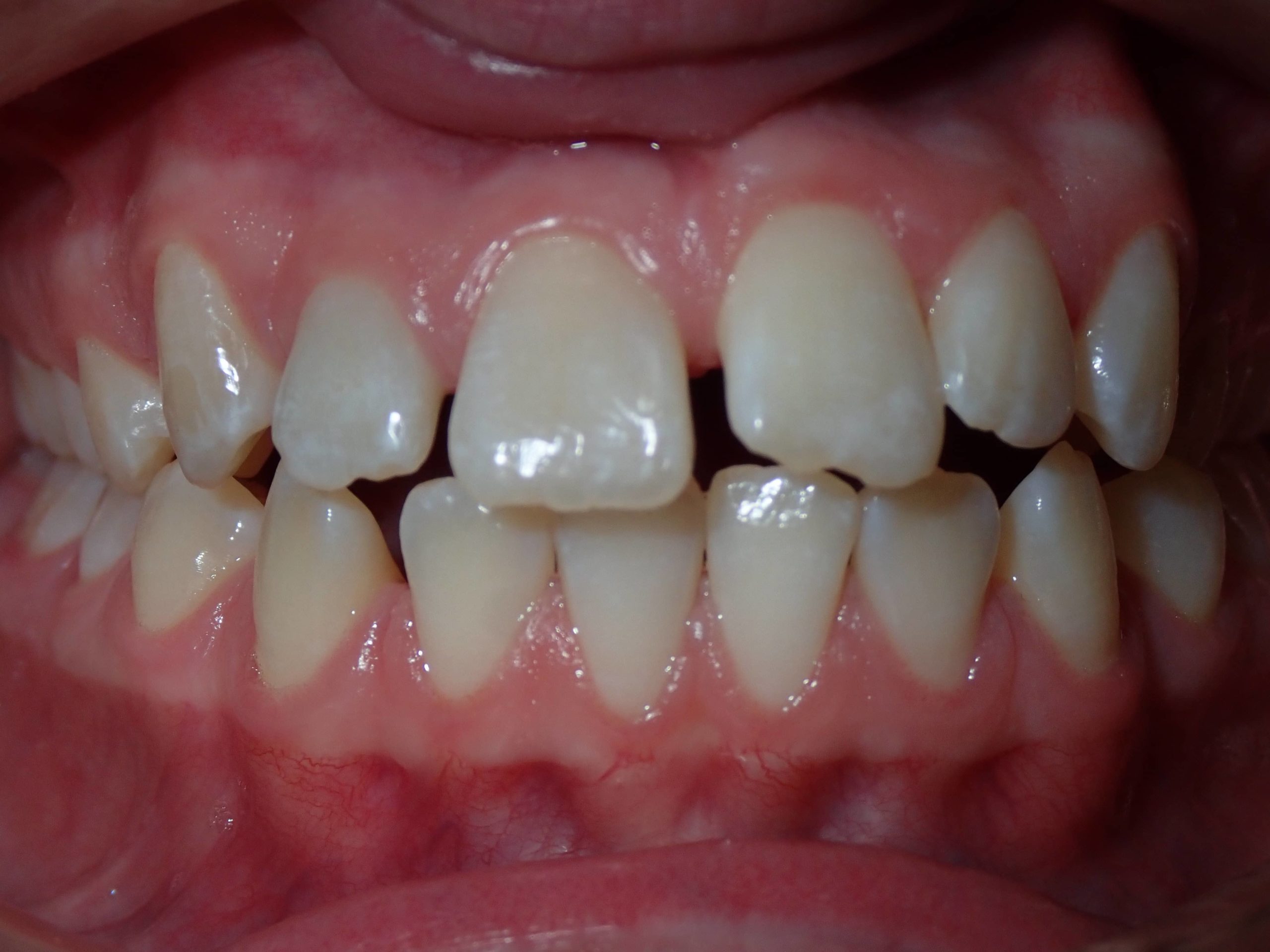
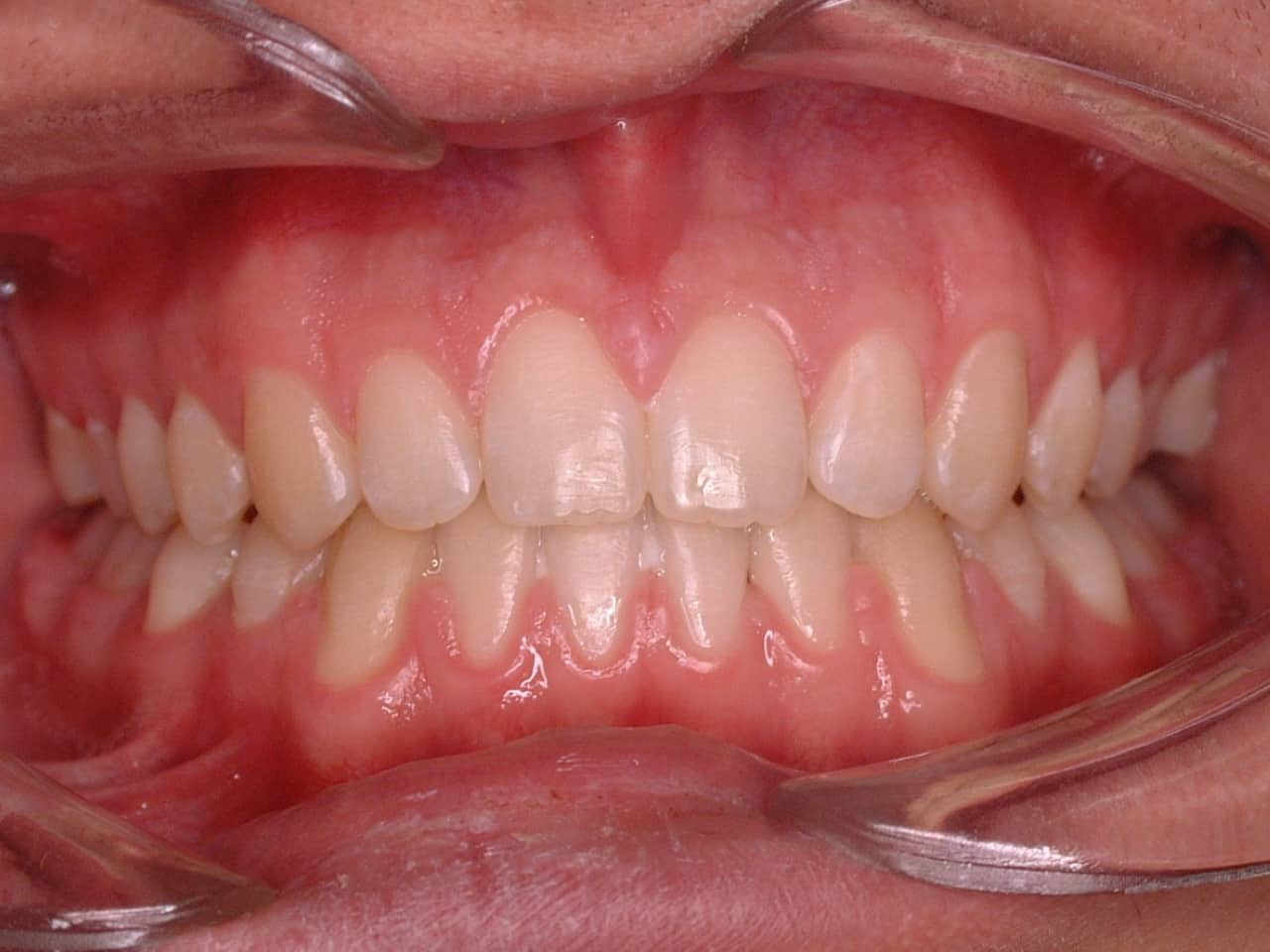
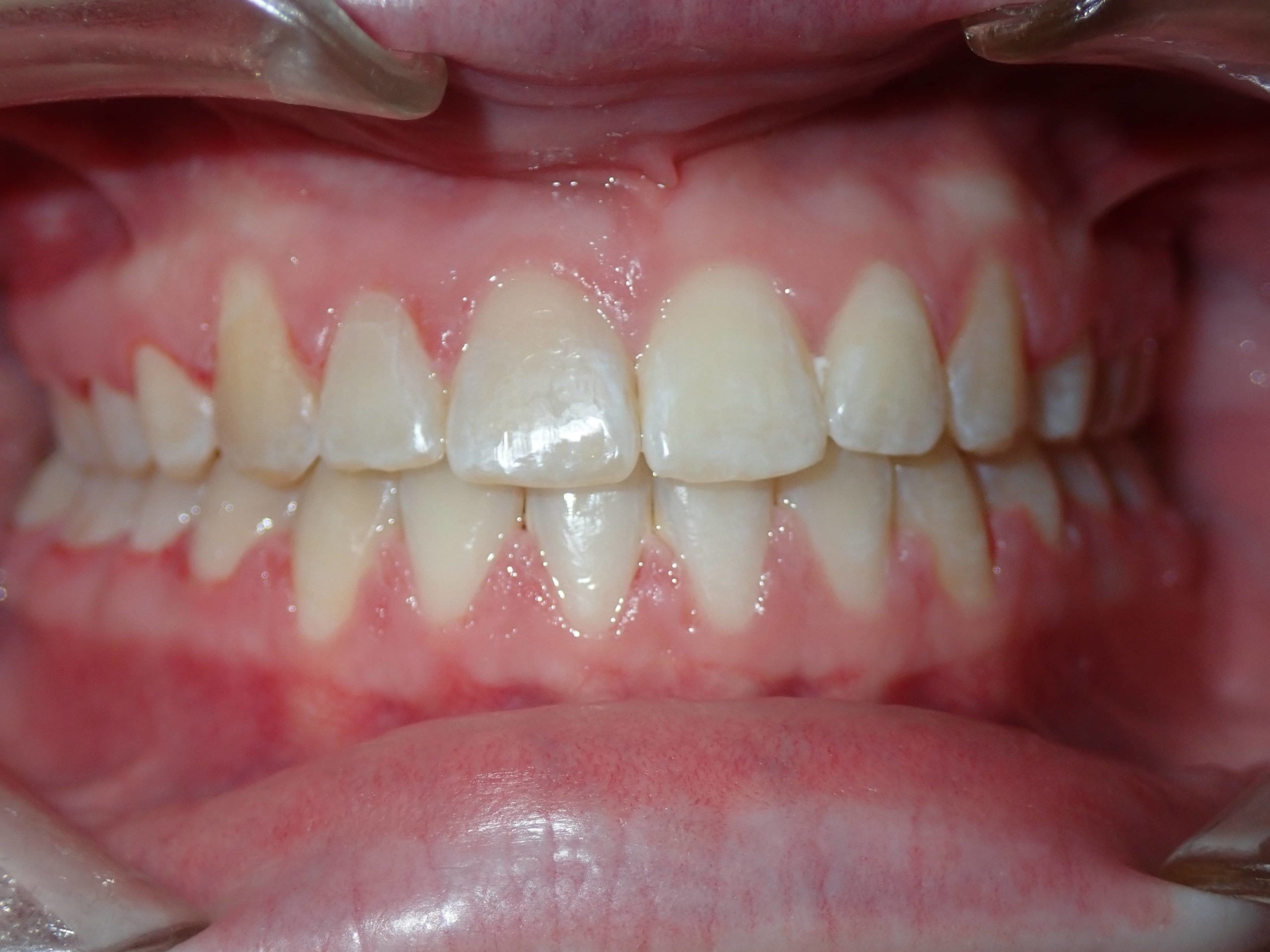
Patient One
After
Before
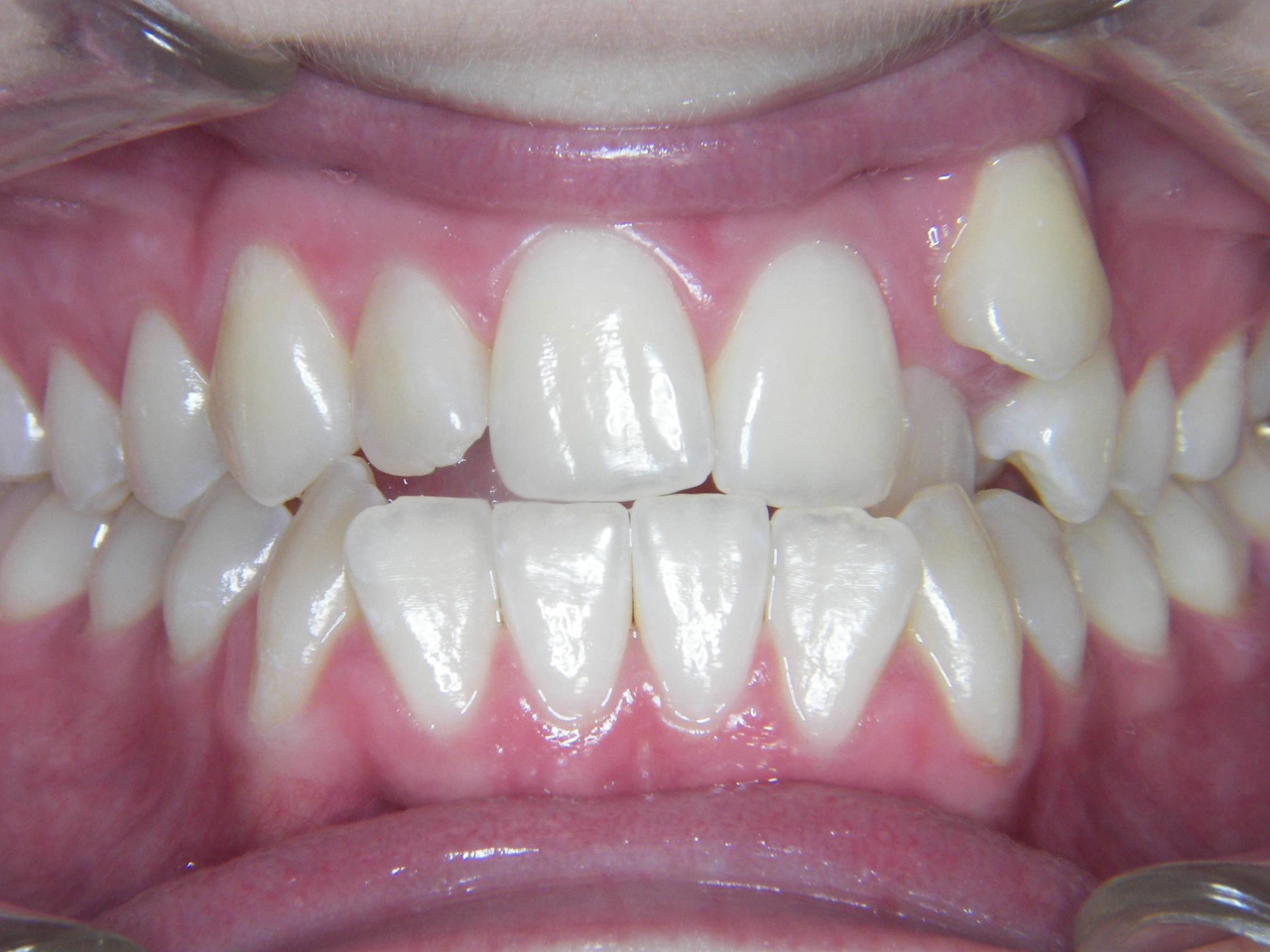
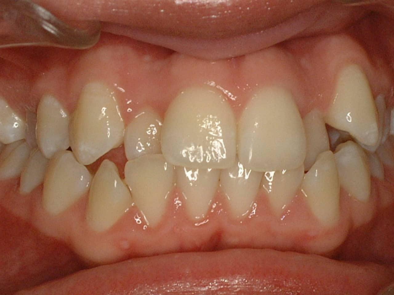
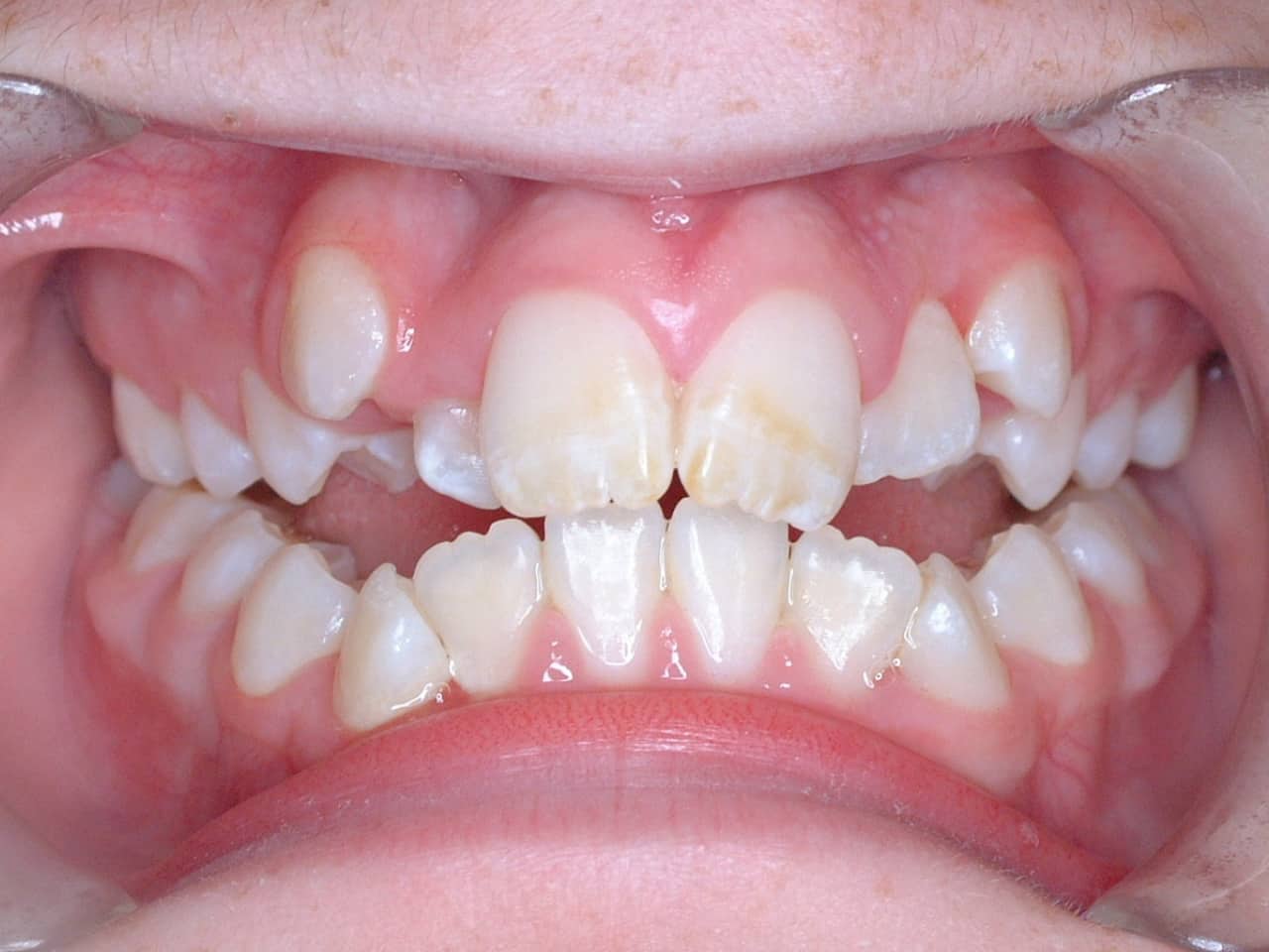
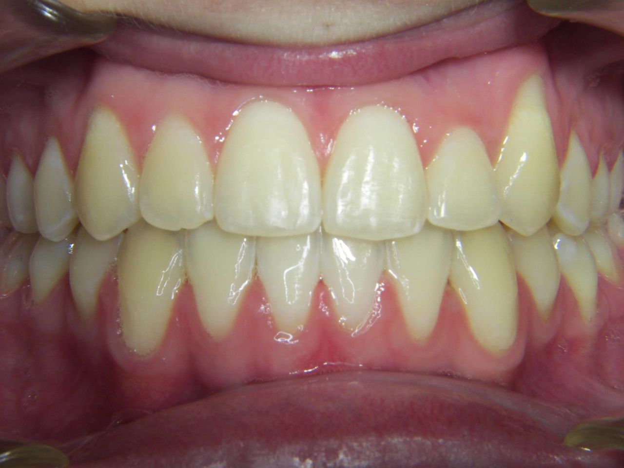
Patient Two
After
Before
Patient Three
After
Before
Patient Four
After
Before
Patient Five
After
Before
Patient Six
After
Before
Patient Seven
After
Before
Patient Eight
After
Before